【30代女性】
ずっと定期検診で通っていた歯科医院で急にむし歯がある、
神経を抜かないといけないかもしれないと伝えられた。
神経を残して、しっかり自分の歯を全部残したい。
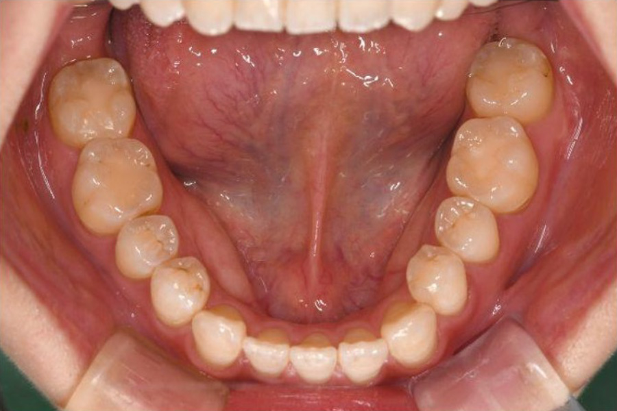
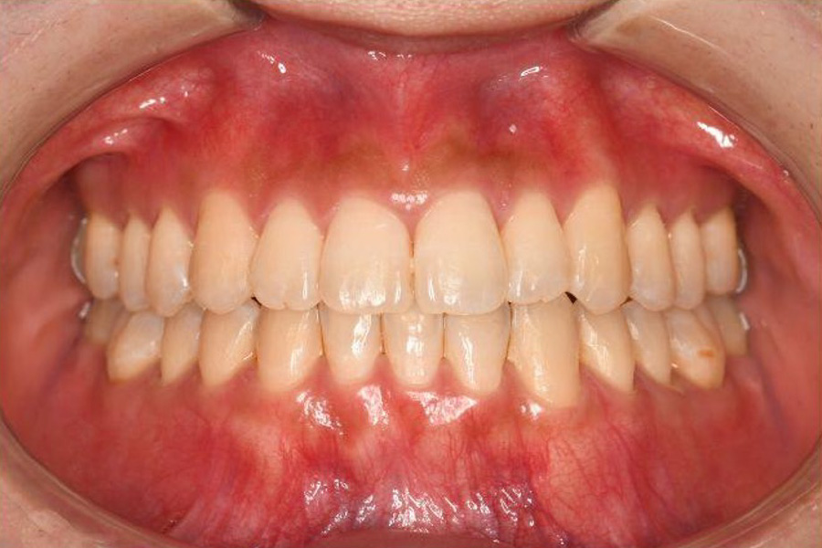
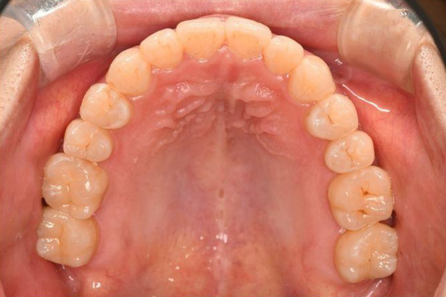
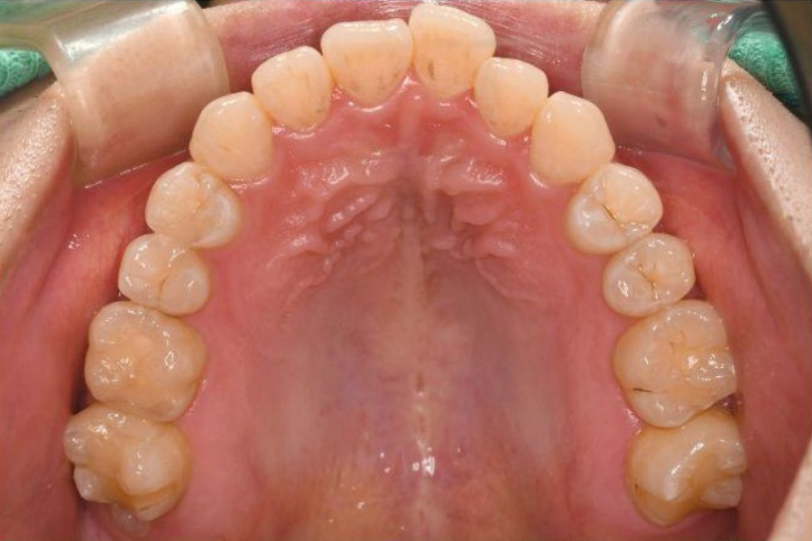
治療前
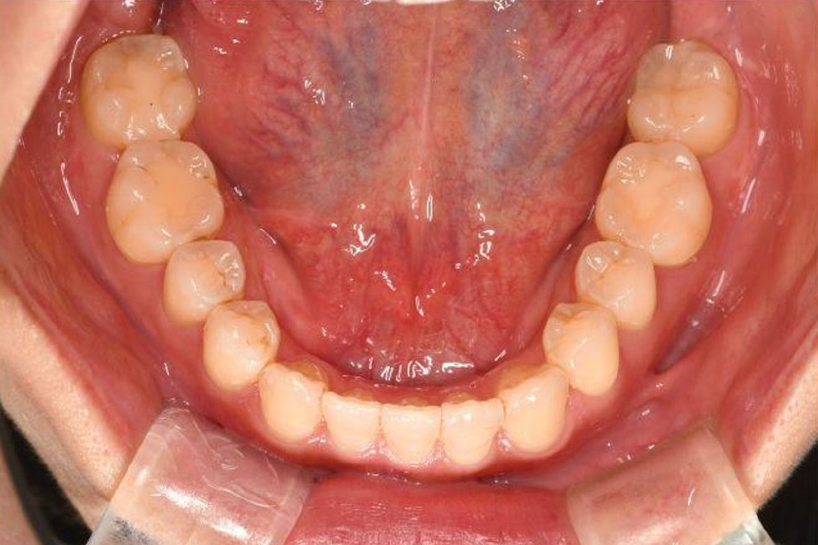
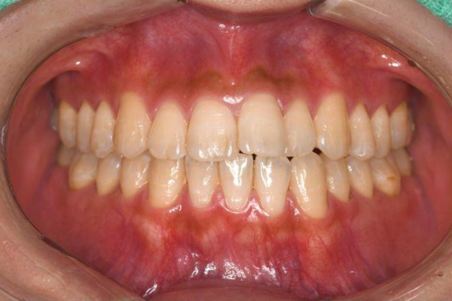
治療後
治療前

治療後

| 担当医 | 関西 一史 先生 |
|---|---|
| 主訴 | ずっと定期検診で通っていた歯科医院で急にむし歯がある、神経を抜かないといけないかもしれないと伝えられた。 神経を残して、しっかり自分の歯を全部残したい。 |
| 期間 | 3年 (実質1年、2年間は他院での矯正治療、メインテナンス予防1年目) |
| 費用 | 269,500円 |
| 治療内容 | 全顎治療:歯周病治療、直接覆髄法(生活歯髄療法)、 セラミック治療、ダイレクトボンディング、矯正治療(他院にて) |
| 治療に伴うリスク | ・治療の効果を発揮するのは、口腔衛生環境の維持にかかっているため、正しいケアと歯科医院でのメインテナンス予防が必要です。 ・くいしばりや歯ぎしりがある場合、負担がかかりやすくなり、割れや欠けが発生する可能性があります。 |