【50代男性】
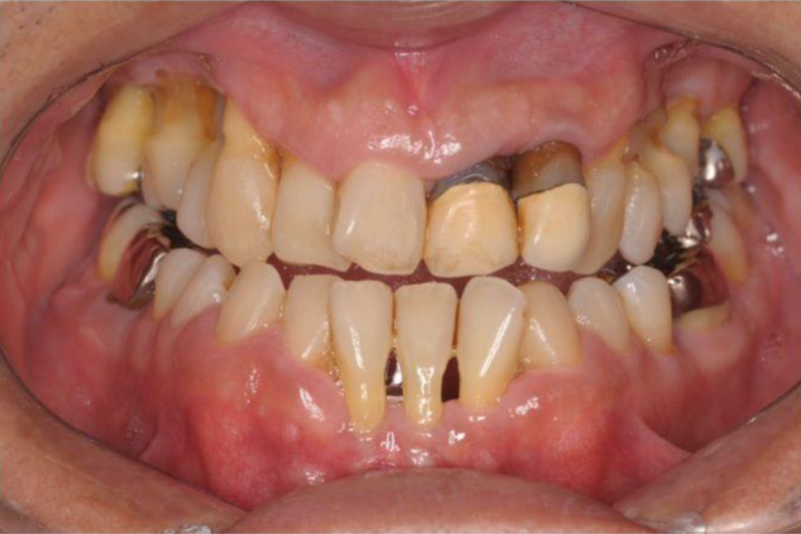
数年前右上の歯が抜けたが
放置していたが、
2ヶ月前から隣の歯も揺れてきた。
歯ブラシをするとしみる。
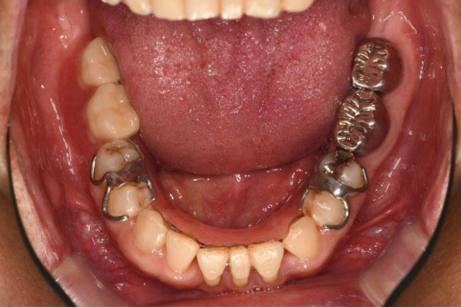
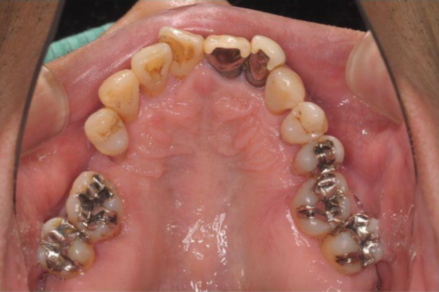
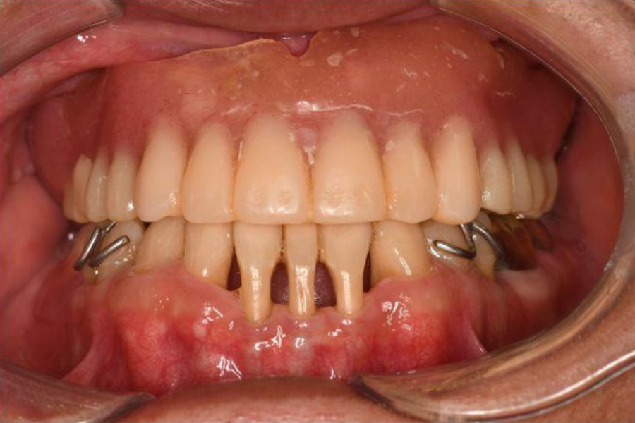
治療前
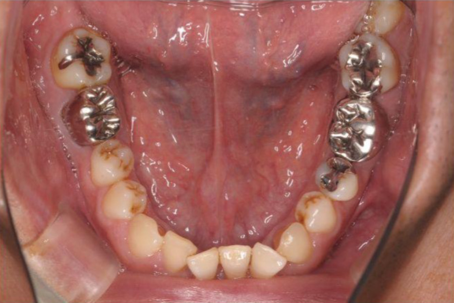
治療後
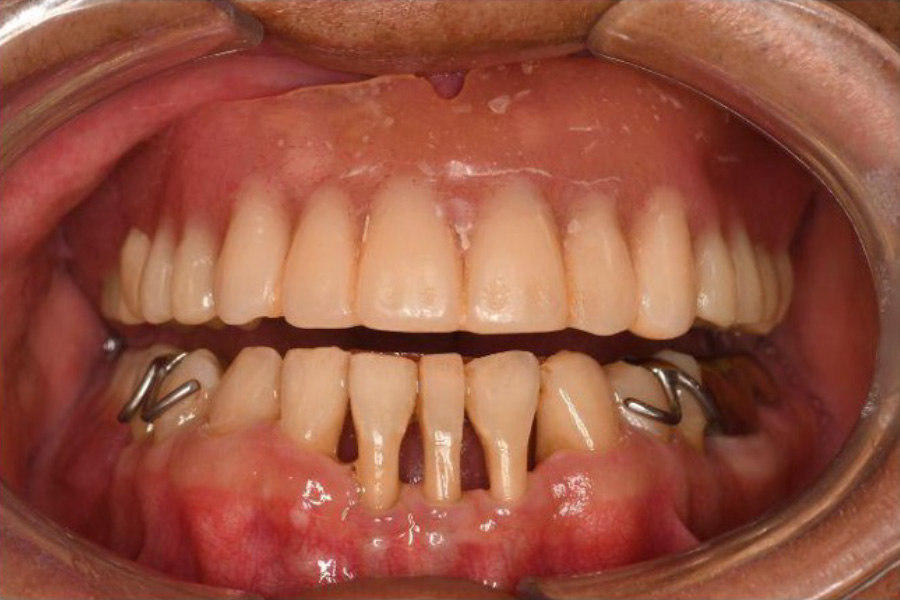
治療前

治療後

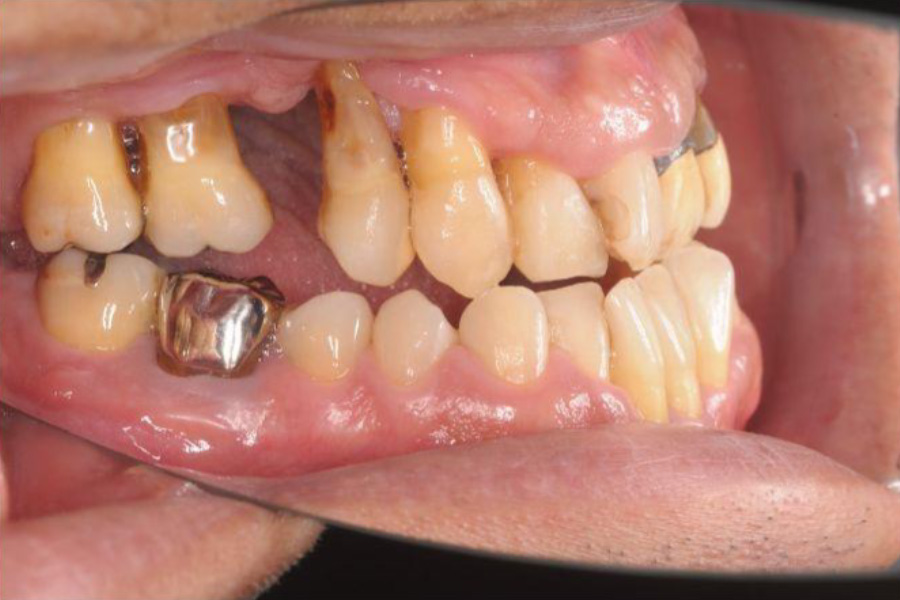
治療前

治療後

| 担当医 | 関西 一史 先生 |
|---|---|
| 主訴 | 数年前右上の歯が抜けたが放置していたが、2ヶ月前から隣の歯も揺れてきた。 歯ブラシをするとしみる。 歯科は苦手で15年ぶり。 できるだけ保険で治療したい。 |
| 期間 | 6年 (実質2年、本人都合により4年中断、メインテナンス予防1年目) |
| 費用 | 448,000円 (保険治療、矯正治療) |
| 治療内容 | 全顎治療:歯周病治療、抜歯、根管治療、 咬合治療・矯正治療、 フルメタルクラウン(保険)、 総入れ歯・部分入れ歯(保険) |
| 治療に伴うリスク | ・治療の効果を発揮するのは、口腔衛生環境の維持にかかっているため、正しいケアと歯科医院でのメインテナンス予防が必要です。 ・くいしばりや歯ぎしりがある場合、負担がかかりやすくなり、割れや欠けが発生する可能性があります。 |