【50代男性】
数年前から左下の
一番奥の歯が噛んだときに痛む。
通院していた歯科で痛みはとれないがまだ抜かない方が良い
といわれたが、ずっと痛いままなので不安になり来院。
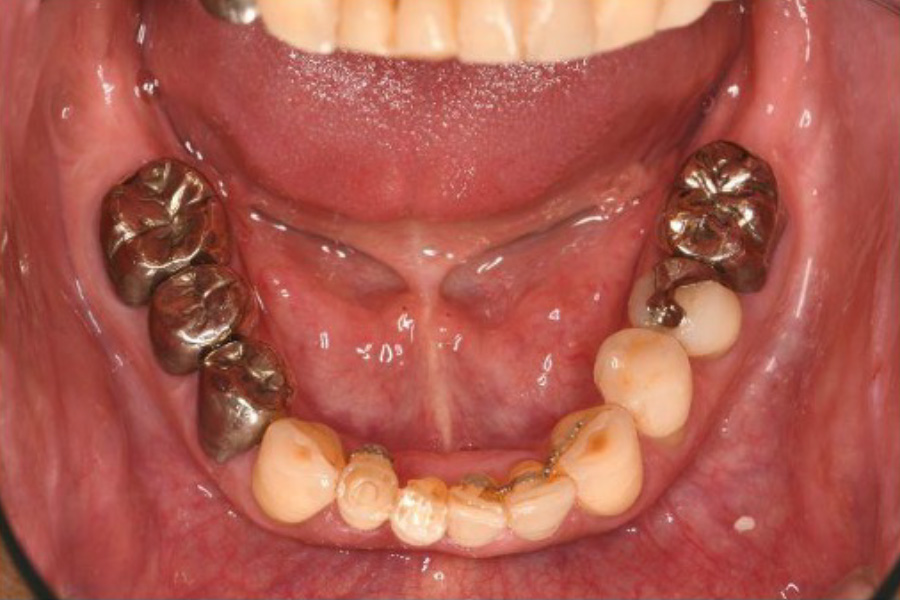
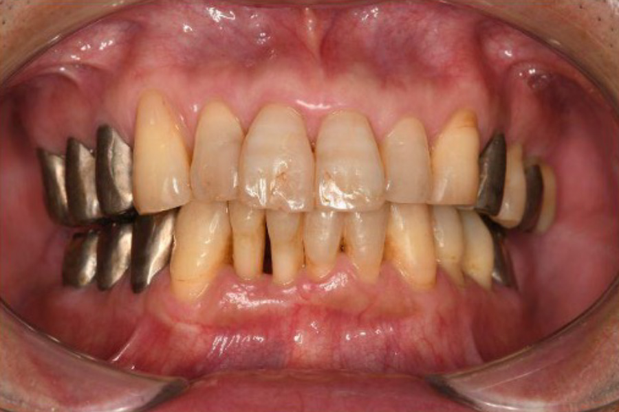
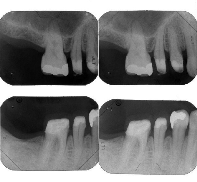
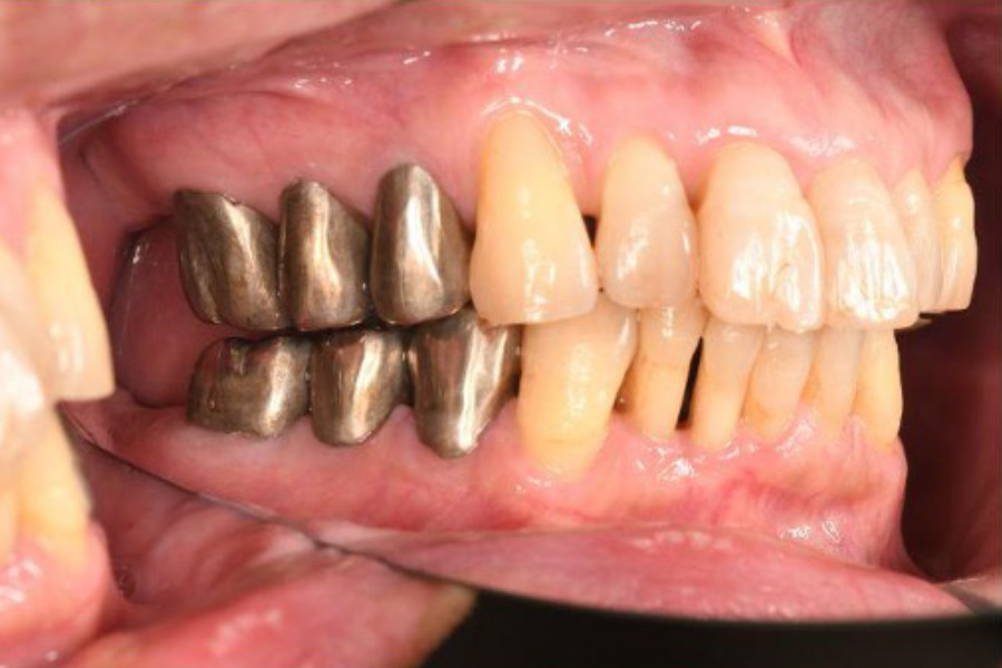
治療前
治療後
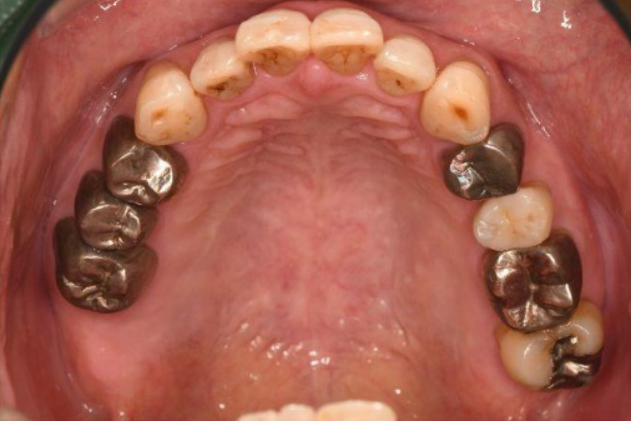
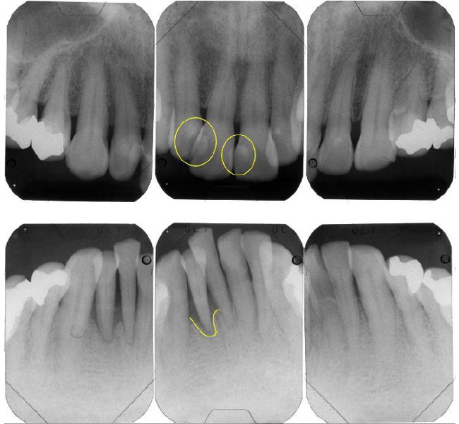
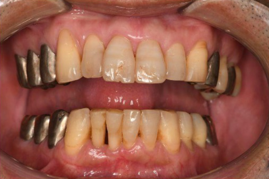
治療前
治療後
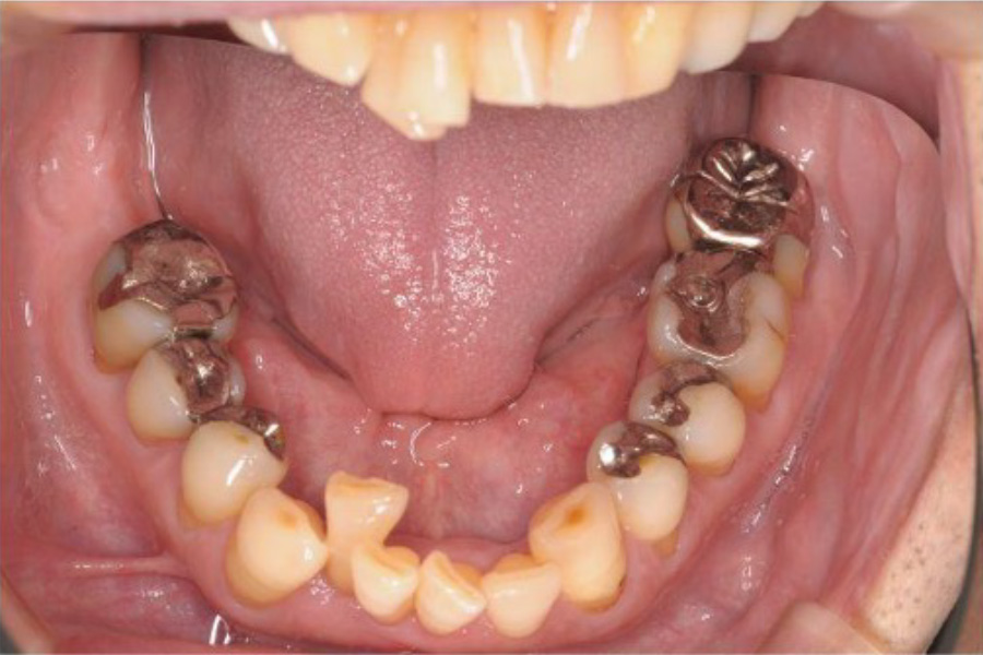
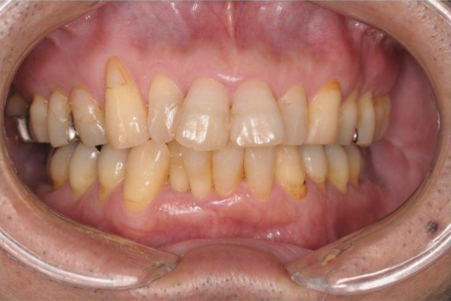
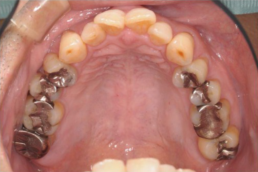
治療前

治療後

| 担当医 | 関西 一史 先生 |
|---|---|
| 主訴 | 数年前から左下の一番奥の歯が噛んだときに痛む。 通院していた歯科で痛みはとれないがまだ抜かない方が良いといわれたが、ずっと痛いままなので不安になり来院。 |
| 期間 | 5年 (実質2年、本人都合により3年中断、メインテナンス予防1年目) |
| 費用 | 434,500円 (保険治療、矯正治療) |
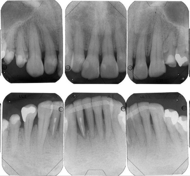
| 治療内容 | 全顎治療:歯周病治療、抜歯、根管治療、 咬合治療・矯正治療、フルメタルクラウン(保険) |
| 治療に伴うリスク | ・治療の効果を発揮するのは、口腔衛生環境の維持にかかっているため、正しいケアと歯科医院でのメインテナンス予防が必要です。 ・くいしばりや歯ぎしりがある場合、負担がかかりやすくなり、割れや欠けが発生する可能性があります。 |