【60代女性】
左下奥歯が痛い。
ストレスがたまると痛くなる。
根本的な原因を知り、根本的な治療をして不安を取り除き、
自分の歯を維持したい。
『力』による構造破壊を防ぐ包括的リハビリテーション
はじめに:
噛み合わせの不調と将来への不安
「左下の奥歯が痛む。ストレスがたまると症状が悪化する」という主訴で来院された症例です。
精密検査の結果、過去の治療箇所に過度な荷重(オーバーロード)がかかり、歯の根が深く割れる「歯根破折」を起こしていました。患者さんの強い希望は「根本的な原因を知り、これ以上歯を失わないための確実な対策を立てたい」ということでした。
精密検査で判明した
「沈黙の破壊者」
精密検査の結果、この痛みの正体は細菌感染に加え、患者さんの強力な「咬合力(噛む力)」によるオーバーロード(過荷重)であることが判明しました。
- 構造的な限界
左下奥歯(第一・第二大臼歯)はともに神経のない「失活歯」であり、過大な荷重に耐えきれず、根の深い部分まで「歯根破折(C4)」を起こしていました。 - 身体が発していたサイン
お口の中には巨大な「骨隆起(下顎隆起)」が発達しており、レントゲンでは歯のクッションである「歯根膜腔」の拡大や、顎の関節(下顎頭)の変形も認められました。 - お顔立ちの特徴
顎の角(エラ)が発達した「ブレーキータイプ(短顔型)」と呼ばれるお顔立ちで、非常に強力な噛む力(咬合力)を持っていることがわかりました。 - 歯周組織への影響
過度な力は歯周病を加速させます。左下奥歯には7mmという深い歯周ポケットが形成されており、細菌感染と物理的な破壊が同時に進行している深刻な状態でした。
治療の選択:
理想的な再開発から
「最善の補強」へ
当初、この症例では、単に痛い部分を治すだけでなく、「なぜ壊れたのか」という原因を排除し、街全体の構造を設計し直す包括的治療を提案しました。歯並びを整えて力の分散を図る「矯正治療」や、欠損部分に独立した基礎を作る「インプラント治療」による包括的な再開発プランです。
しかし、患者さんとの対話の結果、これらの治療は選択せず、「今ある環境の中で最大限に歯を守る」という最適化・保存重視のマスタープランを立案しました。
治療のプロセス:
包括的リハビリテーションの実施
- 歯周基本治療
【地盤の整理と応急的な補強】
まず、壊れた建物の撤去と、残された地盤の整備から開始しました。
戦略的抜歯とリッジプリザベーション: 破折により保存不可能と判断した左下2本の歯は、周囲の骨をこれ以上壊さないよう「戦略的抜歯」を行いました。
同時に、抜歯後の穴に骨を補填する「リッジプリザベーション(歯槽骨保存術)」を施行。これは、将来入れる義歯の安定性を高めるための重要な「地盤沈下防止策」です。
力のバランス調整とプロビジョナルの役割: 治療中、残された歯には「プロビジョナルクラウン(治療用仮歯)」、歯を失った部分には「トリートメントデンチャー(治療用義歯)」を装着しました。また、右側大臼歯にも「プロビジョナルクラウン」を装着しました。左下の歯を失ったことで、噛み合わせの負担が右側に集中しクラック(亀裂)に由来する「咬合痛」が生じ始めたためです。仮歯を用いて噛み合わせのバランスを逐次調整しながら、全体の崩壊を防ぐ「リハビリテーション」を継続しました。 - 歯周外科治療
【地層深部の精密清掃と成形】
基本治療後の再評価により、右下奥歯の奥深くに6mmの歯周ポケットが残存していることが確認されました。
ここを放置すれば再発の火種となるため、外科的アプローチによって地盤を整えます。
フラップ手術と組織の成形(オドントプラスティ・オステオプラスティ): 麻酔下で歯ぐきを一時的に開き、目で直接確認しながら感染源を除去。同時に、細菌が溜まりにくいように歯と骨の形を微細に整える「成形手術」を行いました。これにより、地盤の深部まで細菌が繁殖できない「清掃性の高い環境」が完成しました。 - 口腔機能回復治療
【精密設計による再開発の完成】
地盤が完全に安定したことを確認し、いよいよ最終的な被せ物と義歯を装着します。
本症例では、「既存の歯を極限まで守り抜く」ための高度な工学的設計を行いました。力を分散させる「精密金属床義歯」の設計: 特定の歯に負担が集中しないよう、維持・保持・把持(安定させる力)を計算した設計にしました。
RPIクラスプ: 噛む力がかかった際、支えとなる歯に無理なひねりの力が加わらない特殊構造。
双子鉤とリンガルエプロン:お口全体で義歯を支え、特定の歯への「オーバーロード」を物理的に回避します。 - 成功への鍵:プロケアと
『セルフコントロール』の実践
維持管理【『盾』としてのナイトガードとセルフコントロール】
再開発されたお口の健康を長期にわたって維持するために、最も重要なのが「力の管理」です。
- ナイトガードによる夜間の防衛: 患者さんの持つ強力な噛む力は、睡眠中の無意識な食いしばりによって、日中の数倍もの破壊力に変わります。
この「夜間の嵐」から精密な建物(義歯や歯)を守り抜くため、ナイトガード(就寝用マウスピース)の装着を徹底していただきました。これは、お口という街を守るための「最強の防潮堤」となります。 - セルフコントロールの実践: 治療の成功、そして長期的な健康維持に最も重要なのが、患者さんご自身による日々の『セルフコントロール』です。
これは、単にお口の清掃だけを指す言葉ではありません。良質な睡眠、栄養バランスの取れた食生活、適度な運動といった、身体の免疫力を高める生活習慣全般を指します。歯ぎしりや食いしばりのように、ストレスが誘因となって歯周組織にダメージを与える要因も存在するため、生活全体の質を高める視点が不可欠です。
そして、このセルフコントロールの中でも、最も直接的かつ重要な核となるのが『セルフプラークコントロール』です。
これは、毎日の歯ブラシや補助器具を正しく使い、細菌感染の根本原因であるプラークをご自身で徹底的に除去する技術のことです。
歯科衛生士は、専門的な技術で口腔内を改善に導くと同時に、患者さん一人ひとりに最適なセルフコントロールのプランを立案し、その実践を支える『メディカルコーチ』としての役割を担います。
結び:包括診療における
「治療計画」の真価
この症例の治療は、一つひとつの処置をバラバラに行うのではなく、「世界標準の歯周治療の流れ」に基づいた、一貫したマスタープランがあったからこそ実現できました。
1. 地盤(歯ぐきと骨)を整える
2. 炎症と力のバランスを
仮歯で管理する
3. 精密な設計で最終的な建物を建てる
4. ナイトガードで夜間の
破壊的ダメージを防ぐ
この順序こそが、お口の健康を20年、30年と維持するための「最短ルート」です。
当院では、計画のない治療は砂上の楼閣に過ぎないと考え、まずは全体の設計図を描くことから治療をスタートします。
なぜ「ストレスがたまると
歯が痛む」のか?
ストレスによって引き起こされる痛みの正体は、物理的な「力の過負荷(オーバーロード)」です。
1. ストレスが「ブラキシズム」
を引き起こす
人はストレスを感じると、無意識に脳がその発散を試みます。その代表的な反応が、寝ている間の歯ぎしりや、日中の強い食いしばり(総称してブラキシズム)です。
2. 歯に加わる
「オーバーロード(過剰な力)」
通常、食事の時に歯にかかる力はそれほど大きくありません。しかし、ブラキシズムによってかかる力は、自分の体重の数倍(100㎏単位)に及ぶこともあります。この異常な力が特定の歯に集中することをオーバーロードと呼びます。
3. 歯のクッション(歯根膜)の炎症
歯は骨に直接埋まっているのではなく、歯根膜(しこんまく)という薄いクッションを介して支えられています。
炎症と拡大:オーバーロードがかかる歯は、このクッションがダメージを受け、炎症を起こして厚くなります。レントゲンにも写り、歯根膜腔(しこんまくくう)の拡大と言います。
痛みの発生:クッションが腫れている状態なので、少し歯が浮いたように感じたり、噛むだけで鋭い痛みを感じたりするようになります。
4. 歯へのダメージ(クラック・破折)
過剰な力が限界を超えると、歯そのものに影響が出ます。クラック(ひび):歯の表面に目に見えないほどの小さなひびが入ります。冷たいものがしみたり、噛んだ瞬間にズキッとしたりする原因です。
破折(はせつ): 強い力が加わり続けると、最終的に歯が真っ二つに割れてしまうこともあります。
痛みの正体は
「力のダメージ」
「ストレスで歯が痛い」と感じる時、お口の中では以下のようなことが起きています。1. ストレス
2. ブラキシズム(歯ぎしり・食いしばり)
3. オーバーロード(過剰な力)が発生
4. 歯根膜(クッション)の炎症
+ 歯のひび(クラック)
5. 「痛み」として自覚する
つまり、虫歯による「溶ける痛み」ではなく、無理な力が加わり続けたことによる「組織の悲鳴(捻挫や骨折に近い状態)」なのです。「ストレス性の歯痛」との向き合い方
なぜ、すぐに削ってはいけないのか?
春先(3月〜4月)など、生活環境の変化に伴い「原因不明の歯の痛み」を訴える方が急増します。しかし、その多くは虫歯ではなく、ストレスによる一時的な力の過負荷(オーバーロード)です。- 削る前に「待つ」という選択
他院ではすぐに「高いところを削りましょう(咬合調整)」と提案されるかもしれません。しかし、当院ではあえて「経過観察」を優先するケースが多くあります。自然治癒の力: ストレスのピークが過ぎ、環境に慣れてくると、ブラキシズムの強度が下がり、歯根膜の炎症が自然に引いていくことが多々あります。
削ることのリスク:歯を削るのは「不可逆的な処置」です。一度削ると元には戻せません。一時的なストレス期の噛み合わせに合わせて削ってしまうと、ストレスが去った後の正常な状態でのバランスを崩してしまう恐れがあります。
- 対策はあくまで「守り」である
(対症療法)
現在行われている多くの対策は、残念ながら「根本解決」ではなく「対症療法」です。ナイトガード(マウスピース):これは「歯を守るためのお守り」です。歯ぎしり自体の回数を減らすものではありませんが、歯根膜へのダメージを分散させ、歯が割れる(破折)のを防ぐ防波堤になります。
ボトックス注射(筋力の緩和):噛む力を物理的に弱める手法ですが、これも効果は一時的です。
TCH(日中の接触癖)の意識: 「歯を離す」という行動変容は重要ですが、無意識下の行動を完全にコントロールするのは困難です。
- 顎関節症(TMD)の併発
過剰な力は、歯だけでなく「顎の関節」にも及びます。「歯が痛い」と思って受診された方が、実は顎の筋肉や関節の炎症(顎関節症)であったというケースも少なくありません。これもまた、ストレスと密接に関係しています。 - 根本解決は「ストレスの低減」だが……
理想を言えば「ストレスをなくすこと」が最大の治療ですが、現代社会においてそれは非常に困難です。だからこそ、私たちは以下のスタンスを大切にしています。過剰な処置を避ける:痛いからといって、すぐに神経を抜いたり削ったりしない。
構造の安定(矯正):そもそも特定の歯に力が集中しやすい「構造(不正咬合)」があるなら、それを根本から直しておく(後述のアンテリアカップリング等)。
身体の声を聴く:痛みは「今、過度な負担がかかっているよ」という身体からのサインです。
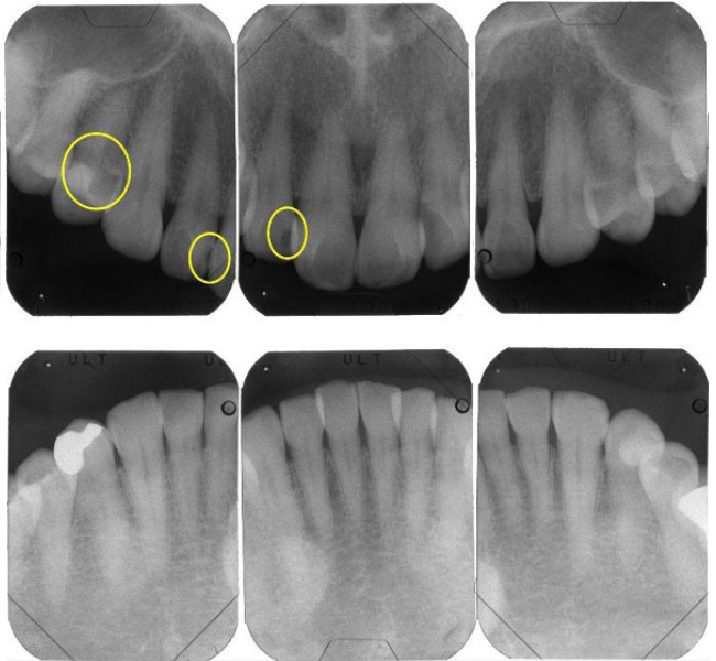
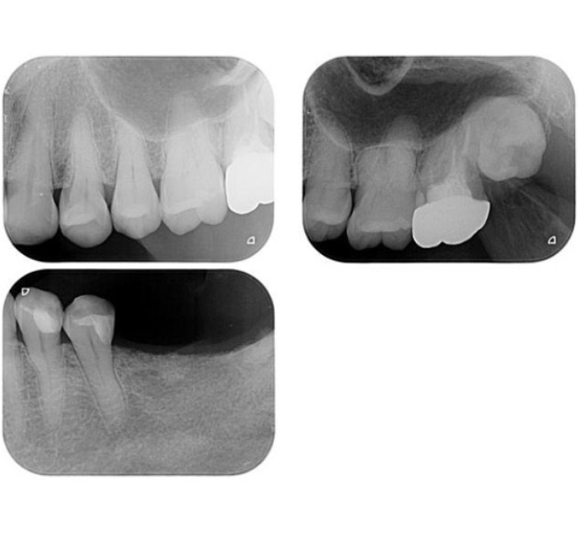
治療前
(レントゲン)
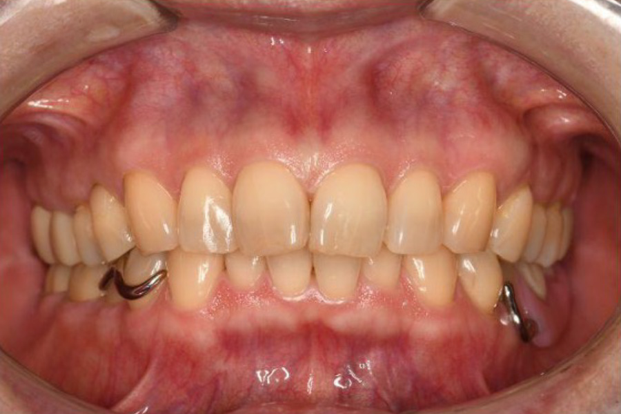
治療前
(口腔内写真)
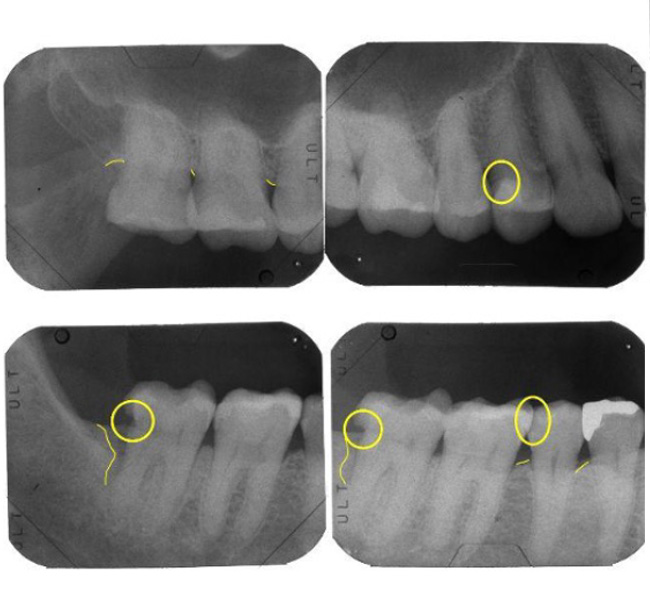
【レントゲン】左下奥歯のレントゲン所見
一番奥の歯(左下7番)は、被せ物の下の土台にヒビ(破折)が入っており、歯の内部と外部の両方から細菌感染が進んでいる「末期的な状態」です。周囲の骨が広範囲に溶け、大きな黒い影として写っています。
その手前の歯(左下6番)は、過去に根を分割する処置がされていますが、土台が根の方向からズレており、噛み合わせの強い力に耐えきれず地盤(骨)を半分以上失っています。
どちらの歯も、これ以上の補修では建物の重み(噛み合わせの力)を支えられず、放置すれば周囲の健康な骨までさらに溶かしてしまうため、将来を見据えて「戦略的な抜歯」を選択しました。
【口腔内写真】左下奥歯の口腔内写真(側面)
歯の周囲には細菌の塊(プラーク)が停滞しており、その出す毒素によって土台となる歯ぐきが炎症を起こし、赤く腫れ上がっています。長年の過酷な「噛む力」対策としての削る調整を繰り返してきた影響で、歯そのものの高さ(歯冠長)が失われ、被せ物との継ぎ目(マージン)も露出してしまっています。
特に一番奥の被せ物には、強い衝撃による「ヒビ」や、根本が削れた部分に「大きな穴」が確認できます。これらは物理的な破壊であると同時に、細菌が歯の内部へ侵入するための「入り口」となってしまっている、非常に無防備な状態です。
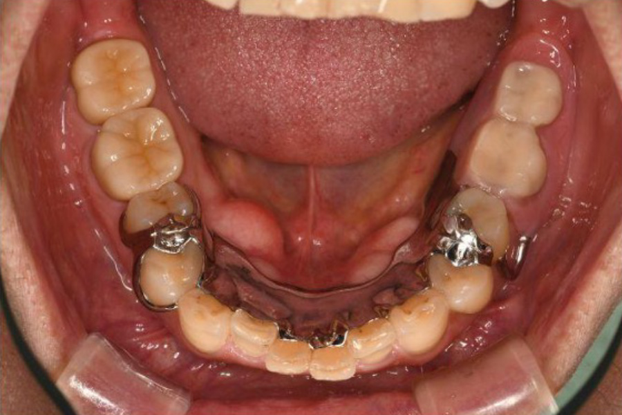
【口腔内写真】下顎咬合面
(噛み合わせの面)の全景
お口の内側(舌側)に見えるボコボコとした突起は「骨隆起」と呼ばれるもので、過酷な噛む力に耐えようとして身体が地盤を厚く補強した、いわば『力のストレス』の顕著な証拠です。
左下奥歯には、破折した根を分割した上で、強固なジルコニアクラウンを装着しています。繰り返された噛み合わせ調整の跡は、いかにこの部位に複雑で強い力が集中していたかを物語っています。
一方の右下奥歯は、激しい摩擦(咬耗)によって歯の表面のエナメル質が消失し、内部の象牙質が広範囲に露出しています。そこにある古い詰め物の周囲には、過度な力による「ヒビ(クラック)」を入り口として、細菌による二次的な虫歯が進行しています。
その他、各所に見られる段差のある不適合な修復物は、細菌の温床となりやすく、お口全体の健康を脅かす構造的なリスクとなっていました。
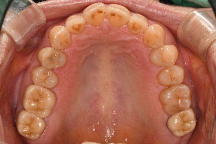
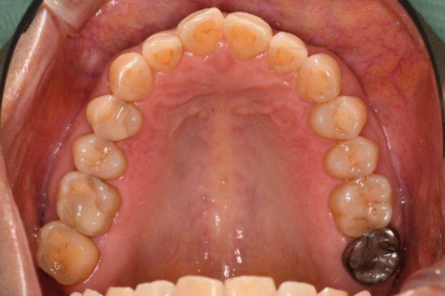
【口腔内写真】上顎咬合面
(上あごの噛み合わせ)の全景
上あごにおいても、歯を支える骨の幅が異常に大きく発達(骨隆起)しています。これは想定を超えた破壊的な荷重(オーバーロード)から歯を守ろうと、身体が必死に地盤を補強した痕跡です。
右上奥歯(6・7番)は、エナメル質が激しくすり減り、内部の象牙質が広範囲に露出しています。歯と歯の継ぎ目には荷重による「ヒビ(クラック)」が入り、そこから細菌の二次侵入を許しています。このまま放置すれば、いずれ歯が真っ二つに割れてしまう寸前の状態でした。
左上奥歯も同様に、重機で削り取ったかのような激しいすり減りが認められます。金属の被せ物には、繰り返された噛み合わせ調整の跡が深く刻まれており、いかに特定の部位に凄まじい力が集中していたかを物語っています。
お口全体の各所に見られる「ヒビに伴う虫歯」は、単なる磨き残しではなく、過度な力による構造破壊が引き金となって細菌の侵入を招いたものであり、根本的な「力のコントロール」が不可欠であることを示しています。
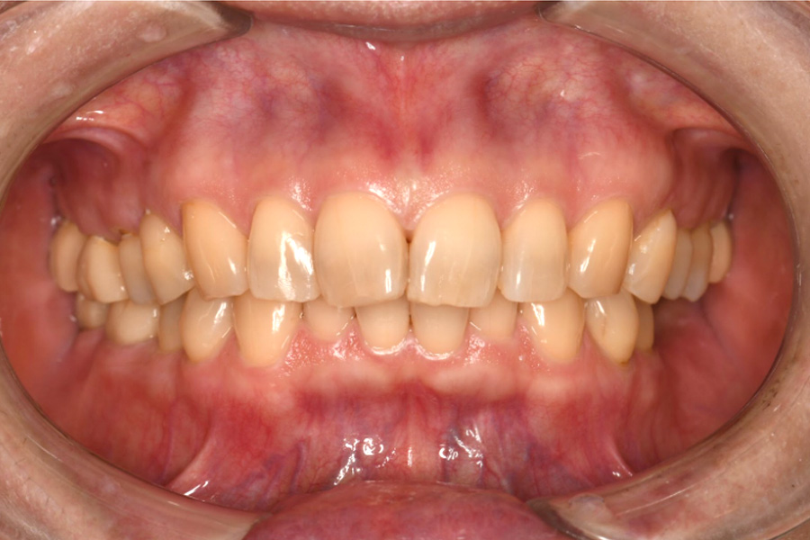
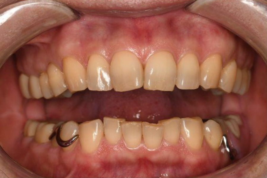
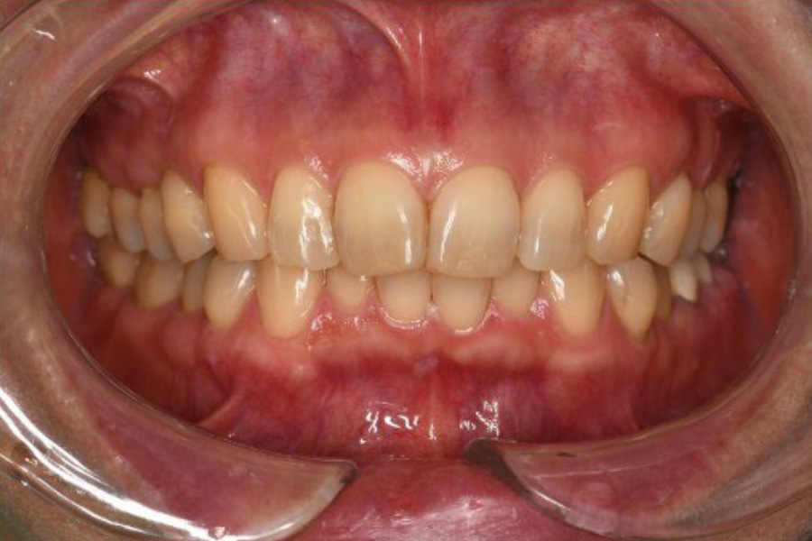
【口腔内写真】正面から見たお口の状態
歯ぐきの表面には、過剰な圧力から歯を支えようとして地盤が肥大化した「骨隆起」がデコボコと隆起しています。また、頬の内側には頬圧痕(きょうあっこん)と呼ばれる白い筋が確認でき、これは就寝中だけでなく、日中も無意識に強い力で食いしばり(クレンチング)を続けている決定的な証拠です。
本来は尖っているはずの犬歯は鋭利さを失って平らにすり減り、前歯の表面には過酷な負荷による構造疲労で生じた「縦方向のヒビ(クラック)」が無数に入っています。これらはお口全体が設計限界を超えた「オーバーロード」の状態にあり、いつ致命的な破壊が起きてもおかしくない危険なサインです。
1. 歯周基本治療:
地盤の炎症コントロール
【精密検査】セルフコントロール後の
精密検査(再評価)
患者さんの継続的な努力により、お口全体の細菌のコントロール(プラークコントロール)は劇的に改善しました。しかし、左下奥歯(6・7番)には依然として4〜7mmの深い歯周ポケットと炎症が残存しています。
これは、たとえ表面の細菌を取り除いても、歯の内部に「ヒビ(破折)」や「エンドペリオ(神経と歯周病が繋がった病変)」という構造的な欠陥がある場合、そこを温床とする細菌を完全に排除することが不可能なためです。このデータに基づき、周囲の健全な骨をこれ以上破壊させないための「戦略的な抜歯」を最終決定しました。
抜去した歯
抜去した歯の状態
事前の診断通り、歯の根がバラバラに割れている(破折)ことが確認されました。ここまで破壊が進むと、建物の柱としての機能を果たせず、「噛む力」を受け止めることは不可能です。
割れた隙間には細菌による深い虫歯が広がり、さらに感染に反応して増殖した炎症組織(肉芽)も付着しています。これらが痛みと骨の破壊を引き起こしていた「根本的な正体」であり、抜歯という決断が正しかったことを裏付けています。
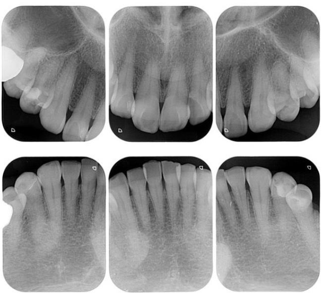
経過
(デンタル)
経過(口腔内写真側方)

【デンタル】
抜歯から1年半後の経過
抜歯と同時に行った「リッジプリザベーション(歯槽骨保存術)」により、建物の土台となる地盤(歯槽骨)が理想的な形で維持されています。通常、抜歯後は地盤沈下のように骨が痩せてしまいますが、適切な処置によって吸収は認められません。
この期間、他の部位の「基本治療」も着実に進行しました。隣の歯(左下5番)には、精密なプレスセラミックによる新しい修復を施行。以前の暫定的な詰め物(CR修復)では対応しきれなかった複雑な形態も、高い適合精度で再構築され、細菌の侵入を許さない強固な構造へと生まれ変わっています。
【口腔内写真側方】
機能回復に向けた口腔内リハビリテーション
左上の奥歯には、最終的な設計図を検証するための「プロビジョナルクラウン(治療用仮歯)」、左下奥歯の欠損部には「治療用義歯(リハビリ用入れ歯)」が装着されています。手前の歯(左下4・5番)にかけられたクラスプ(留め具)を含め、これらはお口全体の機能を再構築するための重要な装置です。
この期間は、いわば「最終建築」に入る前のテスト運用のフェーズです。これらの装置を用いて、新しい噛み合わせが過酷な「噛む力」を適切に受け流せているか、また細菌のコントロールが容易な環境になっているかを実地で検証します。このリハビリ期間を丁寧に経ることで、最終的な補綴物の安定性と寿命を最大限に引き出すことが可能になります。
基礎が整い、次はいよいよ地盤の深部を精密にケアする「歯周外科治療」のフェーズへと移行します。
2. 歯周外科治療
【地層深部の精密清掃と成形】
【精密検査】基本治療後の精密検査(再評価)
再評価と「予防会員制度」の重要性
精密なセルフコントロールトレーニングとSRP(歯石除去)を重ねた結果、お口全体の数値は劇的に改善しました。しかし、右下の一番奥(7番)の遠心側には、依然として6mmの深い数値が残存していました。
実は、この再評価に至る過程で、一度は引いた炎症(BOP:歯ぐきからの出血)が再発した時期がありました。治療が長期間にわたると、どうしても患者さんのケアが疎かになり、細菌のコントロールが乱れてしまうことがあります。
当院では、こうした「モチベーションの波」に左右されず、一貫した精度で治療を完遂するために『予防会員制度(年間サブスクリプション)』を導入しています。
なぜサブスクなのか?
通常、再発に合わせて頻繁に来院をお願いすると、その都度費用が発生し、患者さんの負担や中断の原因になってしまいます。サブスク制にすることで、歯科衛生士がお口の状態(BOPの有無など)に合わせて、費用の心配をさせずにプロケアの頻度や間隔を自由に調整することが可能になります。
「悪化したから頻繁に呼ぶ」「安定したから間隔を空ける」という、お口の状況に100%同期した理想的なサポートを実現するためのシステムです。
右下7番への精密外科手術
細菌コントロールを万全に整えた(BOPマイナス)後、構造的に残ってしまった6mmのポケットに対し、ウィドマン改良型フラップ手術を施行しました。
- ディスタルウェッジ:一番奥の歯特有の、余分な歯ぐきの厚み(汚れの溜まり場)を精密に切除し、清掃しやすい環境を作ります。
- オステオプラスティ(骨成形): 歯周病で凸凹になった骨の形を、細菌が定着しにくい滑らかな傾斜へと整える「地盤の再成形」を行いました。
外科処置後の経過
【精密検査】外科治療後の精密検査(再評価)
術後の精密検査では、ポケットは3mmへと改善。炎症の再発(BOP)も一切認められず、地盤の安定が確認されました。これにより、ようやく「口腔機能回復治療(最終的な被せ物や義歯)」という最終建築フェーズへと進むための、揺るぎない土台が完成しました。
【口腔内写真】外科処置後の歯ぐきの状態
(右下側方画像)
外科手術から一定期間を経て、オペ部位の歯肉は非常に引き締まり、良好な治癒状態を示しています。地盤の深部まで精密な清掃と成形が行われたことで、細菌が停滞しにくい、極めて健康的な環境が整いました。
ここで重要になるのが、「セルフコントロールの微調整」です。本症例では、患者さんが手術部位を大切に思うあまり、力が入りすぎて「オーバーブラッシング(磨きすぎ)」の傾向が見られました。強い摩擦は、せっかく整えた繊細な歯ぐきを傷つけるリスクがあります。
そこで歯科衛生士の指導により、メインの歯ブラシによる強い摩擦を抑え、代わりに歯間ブラシやタフトブラシ(ポイント磨き用のブラシ)を主体とした低刺激で精密なケアへのシフトを指示しました。このように、状況の変化に合わせて最適な道具や方法をアップデートしていくことが、再発を防ぐ鍵となります。
治療プロセスにおける
「戦略的な仮歯(プロビジョナル)」
の導入
これまでの画像をご覧いただくと、外科治療の直前の段階から、上下の奥歯(6番・7番)が仮歯(プロビジョナルクラウン)に置き換わっているのがわかります。
これは、基本治療を継続しても噛み合わせの痛みが完全に消失しなかったため、「構造的な破壊(クラック)」を食い止めるための緊急防衛策として導入したものです。
- クラック(ヒビ)の拡大防止:すでに歯根近くまで広がっているヒビの進行を、外側からリングで固定するように仮歯で覆うことで停止させます。
- 象牙質露出によるリスク改善:激しいすり減り(咬耗)によって剥き出しになった象牙質を保護し、急激に高まっていた二次的な虫歯リスクを遮断します。
治療後
(義歯未装着)
治療後
(義歯装着時)
【口腔内写真】
義歯装着前の口腔内状態(左下)
義歯を外した状態の画像を見ると、治療の初期段階で行った「地盤管理」がいかに成功したかが一目でわかります。
通常、抜歯後の「地盤(歯ぐきや骨)」は時間とともに痩せ、大きく窪んでしまいます。しかし、本症例では戦略的抜歯と同時にリッジプリザベーション(歯槽骨保存術)を施したことで、欠損部の歯槽堤(歯ぐきの盛り上がり)が見事に保存されています。
その高さは、隣接する健康な歯(4番・5番)の歯頸ライン(歯ぐきとの境目)とほぼ同じレベルに維持されています。この平坦で強固な「プラットフォーム」が完成しているからこそ、その上に載る精密な金属床義歯は、ガタつくことなく強力な「噛む力」をしっかりと受け止めることができるのです。
【口腔内写真】義歯装着時の左側観
- 精密金属床義歯とRPIクラスプ:
『力を逃がす』高度なエンジニアリング
左下奥歯の欠損部には、最新の設計に基づいた精密金属床義歯が装着されています。注目すべきは、第二小臼歯にかかっているRPIクラスプの「Iバー」です。
これは、噛む力が加わった際に、支えとなる歯を「ねじる」ような有害な回転力を逃がす特殊な構造です。建築で言えば、地震の揺れを吸収する「免震構造」のような役割を果たし、残された貴重な歯(地盤)の寿命を最大限に延ばします。 - ジルコニアクラウンへの更新:
金属から『人工ダイヤモンド』の強度へ
左上の一番奥(7番)には、以前のメタルクラウンに代わり、最新のジルコニアクラウンを装着しました。繰り返された噛み合わせ調整が必要だった金属に比べ、ジルコニアは圧倒的な強度と緻密な適合性を誇ります。
これにより、強力な「噛む力」をがっしりと受け止めつつ、細菌の付着を許さない滑らかな表面を維持。審美性はもちろんのこと、構造的な耐久性が飛躍的に向上しました。
精密義歯とクラウンが
連携する
「チーム医療」
左側の噛み合わせが再構築されたことで、右側への過度な負担(オーバーロード)も解消されました。
精密な義歯と強固なクラウンがチームとして機能し、お口全体のバランスが保たれています。この「新築」された街を長く守り続けるために、ここからはナイトガードという最強の盾を使いながら、定期的なメンテナンスで「経年変化」を管理していくフェーズへと移行します。
治療前

治療後

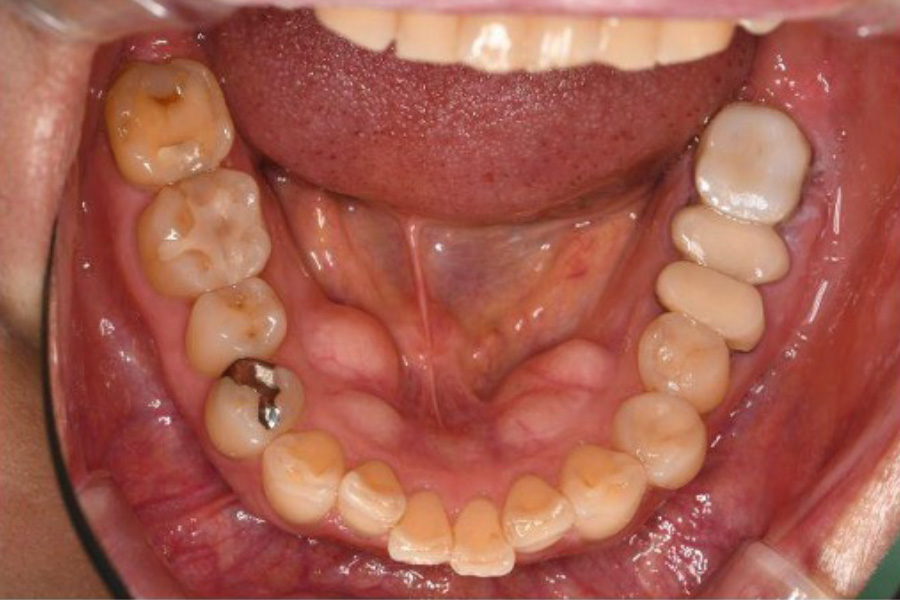
【口腔内写真】
下顎咬合面(下あごの噛み合わせ)の
最終形態
- 義歯装着前:強固な地盤の維持
(左下欠損部)
義歯を装着する前の状態を確認すると、抜歯から時間が経過しているにもかかわらず、歯槽堤(歯を支える土台)の幅が理想的に保存されています。
通常、何もしなければ骨は幅を失い、細く痩せてしまいますが、リッジプリザベーション(骨保存術)の成功により、精密な義歯を安定して支えるための「強固な防波堤」が維持されています。 - 右下奥歯:最新素材による構造補強
右下奥歯には、高い強度を誇るジルコニアクラウンを装着しました。以前の不適合な修復物やクラック(ヒビ)のリスクを完全に排除し、人工ダイヤモンドに匹敵する強度を持つこの素材が、患者さんの強力な「噛む力」をがっしりと受け止め、再度の崩壊を防ぎます。 - 精密金属床義歯の装着:
『多点支持』による極限の安定義歯を装着した状態では、お口全体がひとつのチームとして機能するよう、高度な工学的設計が施されています。
1. リンガルエプロンによる一体化
義歯の主要部分を反対側まで繋ぐ「リンガルエプロン(舌側の金属板)」を採用。
生体親和性の高い金属を用いることで、従来のプラスチックでは不可能な「薄さ」と「強靭さ」を両立しました。舌側に吸い付くように密着し、違和感を最小限に抑えながら、装置全体の剛性を飛躍的に高めています。
2. ダブルエーカースクラスプ
(右側小臼歯)
反対側の歯(右下4・5番)には、2つの歯を跨ぐように固定する「ダブルエーカースクラスプ」を配置。左側のRPIクラスプと合わせ、お口の中で「3点以上の多点接触」による支持構造を確立しました。これにより、どんなに強い力がかかっても義歯が動かず、残された歯を「揺さぶらない」安定感を実現しています。 - お口全体の再開発の完了
その他、各所に見られた「細菌の温床」となっていた不適合な修復物は、すべて精度の高い修復物へと更新されました。
単なる穴埋めではなく、清掃性の向上と力の分散を徹底的に計算したこの「街全体の再開発」により、患者さんが長年抱えていた「根本的な原因への不安」は取り除かれ、一生使い続けるための盤石な基礎が完成しました。
【口腔内写真】上顎咬合面
(上あごの噛み合わせ)の
最終形態下あご同様に、
上あごの「街」も
再開発が完了しました。
ジルコニアによる強固な外壁:咬耗(すり減り)が激しく、崩壊の危機にあった右上6・7番、および左上7番には、高強度のジルコニアクラウンを装着しました。以前の不適合な修復物はすべて精密なものへと置き換わり、細菌が侵入する隙間を排除。過酷な「噛む力」を正面から受け止めるための「強固な外壁」が再構築されています。
精密な適合と清掃性:すべての修復物は、マイクロスコープ等を用いた精密な適合精度にこだわっています。
段差をなくすことで細菌(プラーク)の停滞を防ぎ、日々のセルフプラークコントロールが容易な環境を実現しました。
治療のまとめ:
調和のとれた
「街」の完成
本症例の最大の敵は、細菌感染以上に、患者さんの生活習慣やストレスに起因する「オーバーロード(過剰な力)」でした。
本来、この「力」の問題を根本から解決するための理想的な都市計画としては、歯列不正を整える「歯列矯正」や、失われた重要な柱(Key tooth)を独立して再建する「インプラント治療」が第一選択となります。
しかし、当院では患者さんの価値観やライフスタイルを尊重し、現状の条件下で最高の結果を出すための「最善の保存・補強プロジェクト」を策定しました。
- 精密な義歯とクラウンのチームワーク
左側の噛み合わせを精密な金属床義歯で再構築したことで、右側への過度な負担(オーバーロード)が解消されました。一つひとつのクラウンと義歯がチームとして機能し、お口全体のバランスが保たれています。 - 「根本原因」への継続的なアプローチ
オーバーロードの原因は、日中の食いしばりや就寝中の歯ぎしりといった「習癖」にあります。
「新築」されたこの街を長く守り続けるために、ここからはナイトガードという最強の盾を使いながら、物理的な破壊から歯を守り、定期的なメンテナンスで「経年変化」を管理していくフェーズへと移行します。 - 包括診療とマスタープランの真価
今回の治療が成功したのは、場当たり的な処置をせず、「世界標準の歯周治療」の順序に基づいた包括的なマスタープランがあったからです。
・地盤(歯ぐきと骨)を整える
・暫間的な補強(仮歯)で力のバランスを検証する
・精密な設計で最終的な建物を建てる
当院はこれからも、科学的な根拠に基づいた計画的な診療で、患者さんお一人おひとりの盤石な未来を創造していきます。
結びに代えて:本当の『成功』は、
20年、30年後の未来にある
精密な義歯が入り、噛み合わせが整ったこと。それは、お口のリハビリテーションにおける「スタートライン」に立ったに過ぎません。歯科治療において、修復物の装着は決してゴールではありません。
私たちの真の目的は、「今日取り戻したこの機能を、数十年先の未来まで守り抜くこと」にあります。
そのため、当院では治療の完了を「成功」とは呼びません。この状態が20年、30年と維持され、患者さんの人生を支え続けた時、初めてその言葉を口にできると考えています。
維持という名の「メインフェーズ」
治療という「修復期間」が終わり、これから始まるのが「メインテナンス」という名の最も重要な本番のフェーズです。- 物理的な盾:夜間の無意識な破壊(オーバーロード)を防ぐナイトガードの徹底
- 環境の維持:セルフコントロールとプロケアによる細菌の徹底排除
- 経年変化の管理:どんなに精密な建物も、時間の経過とともに微細な変化が生じます。
医療者と患者さんの「長い契約」
この長い道のりを歩むために、私たちは「治して終わり」という一時的な関係ではなく、数十年先を見据えたパートナーでありたいと考えています。「あの時、しっかりとした計画(マスタープラン)を立て、妥協せずに土台から整えておいて本当に良かった」数十年後の未来に、患者さんにそう実感していただくこと。その時まで、私たちの仕事は続いていきます。
患者さんの意識改革:
依存から自立した
「セルフコントロール」へ
本症例の背景には、技術的な処置と同じくらい、患者さんの意識そのものを変えていく「対話と教育」のプロセスがありました。- 「削れば治る」という誤解を解く教育
来院当初、この患者さんは「痛いところを削れば解決する」と考え、歯科医師にすべてを委ねる依存的な傾向が見られました。しかし、今回の痛みの本質は「歯そのもの」以上に、生活習慣やストレスに起因する「過剰な力(オーバーロード)」にあります。
歯科衛生士が何度も繰り返し時間をかけて説明を行ったのは、患者さん自身が「原因は自分の習慣の中にある」と自覚するためです。歯科医師が手を下すだけでは、また同じ破壊が繰り返されます。この「依存から自覚へ」の転換を促すことが、再発を防ぐための最も重要なステップでした。 - 徹底した説明による信頼と、
医療者としてのリード
治療中、不安から確認の連絡を頻繁にいただくこともありましたが、その都度、歯科衛生士がプロの視点から同じ説明を粘り強く繰り返しました。これは単なる「安心」の提供ではなく、「何が起きているのか」という医学的事実を患者さんの知識として定着させるための「教育」です。
理解が深まるにつれ、患者さんは「削って治す」という受け身の姿勢から、自らオーバーロードを制御しようとする主体的な姿勢へと変わっていきました。 - 「頑張りすぎ」へのプロとしての助言
この患者さんは非常に真面目な性格ゆえに、ケアに対しても「完璧を求めすぎる」側面がありました。それがオーバーブラッシング(磨きすぎ)となって自分を傷つける結果を招いていたため、私たちは「今のケアで十分機能しています。過剰な努力は逆効果です」と、プロの立場からブレーキをかけました。
医療としてのゴールは、患者さんが過度に緊張したり医療者に依存したりすることなく、正しくお口の状況を把握し、淡々と必要なケア(ナイトガードの装着など)を継続できる状態に導くこと。この「心理的な自立」こそが、精密な義歯やクラウンの寿命を支える見えない基礎となっています。
覚醒時ブラキシズム
(日中のくいしばり)
- 原因: 精神的ストレス、過度な集中、緊張
- メカニズム: 脳のストレス発散反応、または作業時の姿勢や集中による無意識の筋肉緊張
- リスク: 夜間の歯ぎしりよりも時間が長くなりやすいため、「持続的なオーバーロード」となり、歯根膜炎や歯の破折、顎関節症を招きやすい
日中のくいしばり
(覚醒時ブラキシズム)の正体
一般的に「歯ぎしり」というと、夜中にギリギリと音を立てるものを想像しがちですが、実は日中に音を立てずにグーッと噛みしめる行為も、同じブラキシズムの仲間です。
- なぜ「ストレス」が原因なのか?
人間は、強い不安や緊張、怒りなどを感じると、自律神経が「闘争か逃走か」という戦闘モード(交感神経優位)に入ります。この際、無意識に体に力が入りますが、特に顎の筋肉(咀嚼筋)は感情の抑制と深く関わっているため、ストレスを飲み込もうとして強く噛みしめてしまうのです。 - 「集中」も一種のストレス
精神的な悩みだけでなく、以下のような「集中が必要な作業」も脳にとっては負荷(ストレス)となり、くいしばりを誘発します。
・パソコン作業やスマホ操作
・車の運転
・精密な手作業や重いものを持つ動作
・スポーツ - 日中のくいしばりの特徴:TCHとの関係
日中のブラキシズムは、本人が気づかないほどの弱い力での接触から始まります。
本来、上下の歯が接触するのは「食事」と「飲み込み」の時だけで、1日の合計時間は15〜20分程度と言われています。
それ以外の時間に、ストレスや集中によって歯が触れ続けてしまう癖(TCH:歯列接触癖)が、筋肉を疲弊させ、先ほど説明した「オーバーロード(過負荷)」の入り口となります。
「不正咬合」は、
見た目だけの
問題ではない
———— 歯を失う「進行性の疾患」
としての正体 ————
一般的に、不正咬合(噛み合わせの悪さ)は「見た目(審美)」の問題だと思われがちです。
しかし歯科医学的には、それは歯を破壊する「力の病気」です。
- 特定の歯を破壊する
「オーバーロード」の集中
歯並びが良い状態とは、噛む力が全ての歯に分散されている状態です。しかし、不正咬合があると、噛むたびに特定の歯だけに過剰な力(オーバーロード)が集中します。噛みやすい歯ほど危ない: 「よく噛める場所」は、言い換えれば「過剰な負担を一手に引き受けている場所」です。
Keytooth(キーテース)への衝撃: 第一大臼歯=6番目の歯)をKeytoothと呼びます。ここにオーバーロードが集中すると、どれほど丁寧に磨いていても、歯は根元から折れたり(破折)、支える骨が溶けたりして、急速に寿命を迎えます
- 「アンテリアカップリング」という
安全装置の欠如
健康な噛み合わせには、「アンテリアカップリング」という重要な機能が備わっています。
これは、前歯が上下で適切に接触・誘導している状態のことです。前歯は「ガードレール」: 顎を横に動かした時、前歯がガイド役となって奥歯を浮かせ、奥歯に強い横揺れの力がかからないように守っています。これを専門的に「前歯による保護」と呼びます。
安全装置の喪失: 出っ歯(上顎前突)や受け口、開咬などで前歯が噛み合っていない人は、このガードレールがありません。
- 最も「デンジャラス(危険)」な状態とは?
アンテリアカップリングが喪失している人が、ストレスでブラキシズム(歯ぎしり)を起こすと、事態は致命的になります。奥歯へのダイレクトアタック: ガードレールがないため、夜中に凄まじい力で奥歯を左右に揺さぶり続けます。
歯の悲鳴: これにより、歯根膜腔の拡大(炎症)が起き、歯がグラグラし始めます。さらには、健康だった歯にクラック(ひび)が入り、最後には真っ二つに割れて抜歯へと追い込まれます。
インプラントも壊れる:この力の制御ができていない状態では、高価なインプラントや入れ歯を入れても、それらもすぐに壊れてしまいます。
- なぜ「今すぐ」矯正が必要なのか?
不正咬合によるダメージは、蓄積型です。構造自体の修正:詰め物や被せ物(補綴)だけで治そうとしても、土台である歯の並びと角度が間違っていれば、また同じ場所にオーバーロードがかかり、再発を繰り返します。
唯一の解決策: 「力のバランス」を根本から変えることができるのは、矯正治療だけです。歯が割れて失われる前に、歯を「守るための配置」に整えることは、一生自分の歯で食事をするための最優先の医療措置といえます。
歯並びを治すのは、美容のためだけではありません。
あなたの Keytooth を守り、奥歯の崩壊を止めるための『構造改革』なのです。アンテリアカップリングという安全装置がない状態は、ブレーキのない車で高速道路を走るようなもの。手遅れになる前の、早期の矯正相談を強く推奨します。
本症例の治療結果
ここまでお読みいただきありがとうございます。
最後に、本症例における治療による変化について、「治療前」「治療後」として掲載しております。
本症例では、見た目の変化だけでなく、口腔内の状態を総合的に評価するために、口腔内写真(5枚法)、デンタルX線写真(14枚法)、歯周精密検査表をもとに治療前後の比較を行っております。
これらの資料をご覧いただくことで、歯並びや咬み合わせの改善に加え、歯周組織の状態や全体的な口腔環境の変化についてもご確認いただけます。
これまで解説させていただいたポイントにもご注目いただきながら、治療による変化をご確認いただけますと幸いです。
治療前
(口腔内写真5枚法)
※クリック(タップ)で拡大します
治療後
(口腔内写真5枚法)
※クリック(タップ)で拡大します
治療前(デンタルX線写真)
※クリック(タップ)で拡大します
治療後(デンタルX線写真)
※クリック(タップ)で拡大します
治療前(精密検査)
治療後(精密検査)
| 担当医 | 関西 一史 先生 |
|---|---|
| 主訴 | 左下奥歯が痛い。ストレスがたまると痛くなる。 2カ所歯科医院へ行ったが、かみ合わせが原因といわれている。 根本的な原因を知り、根本的な治療をして不安を取り除き、自分の歯を維持したい。 インプラント、矯正はやりたくない。 |
| 期間 | 2年(メインテナンス予防1年目) |
| 費用 | 1,693,500円(税込) |
| 治療内容 | 全顎治療:歯周病治療、抜歯、歯槽堤保存術、根管治療、 セラミック治療、ダイレクトボンディング、部分入れ歯治療(金属床) |
| 治療に伴うリスク | ・治療の効果を発揮するのは、口腔衛生環境の維持にかかっているため、正しいケアと歯科医院でのメインテナンス予防が必要です。 ・くいしばりや歯ぎしりがある場合、負担がかかりやすくなり、割れや欠けが発生する可能性があります。 |