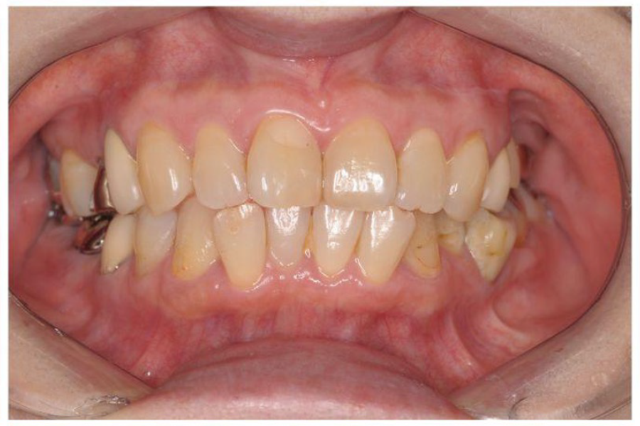
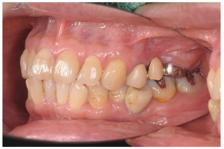
左上のブリッジが欠けた。
金属を白くしたい。
歯並びも気になる。
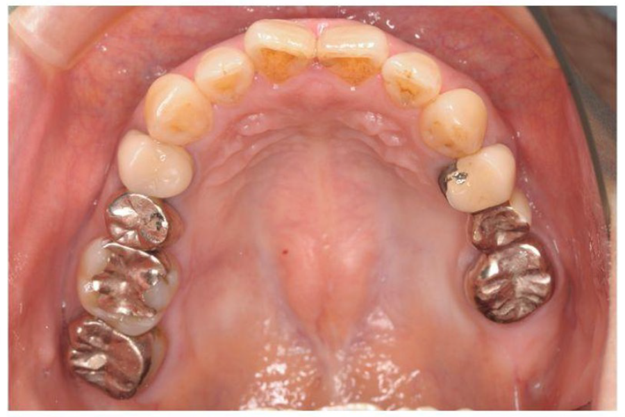
治療前
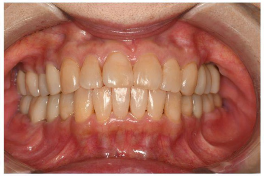
治療後
治療前
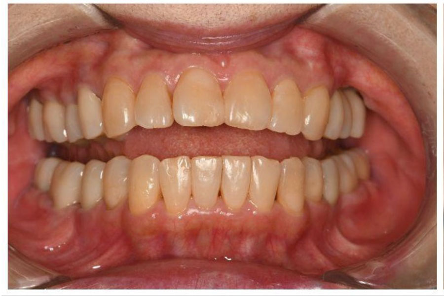
治療後
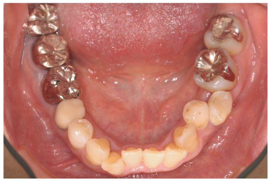
治療前

治療後

| 担当医 | 関西 一史 先生 |
|---|---|
| 主訴 | 左上のブリッジが欠けた。 金属を白くしたい。歯並びも気になる。 |
| 期間 | 5年(メインテナンス予防1年目) |
| 費用 | 4,237,750円 |
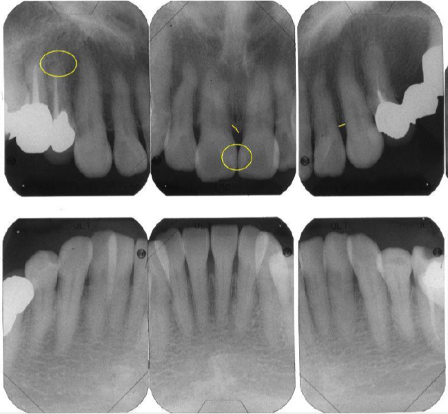
| 治療内容 | 全顎治療:歯周病治療、インプラント治療、GBR、根管治療、矯正治療、 ダイレクトボンディング、セラミック治療、親知らずの抜歯 |
| 治療に伴うリスク | ・治療の効果を発揮するのは、口腔衛生環境の維持にかかっているため、正しいケアと歯科医院でのメインテナンス予防が必要です。 ・くいしばりや歯ぎしりがある場合、負担がかかりやすくなり、割れや欠けが発生する可能性があります。 |