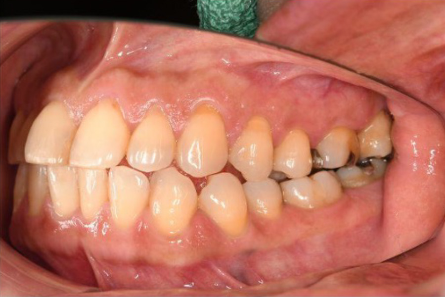
【50代女性】
左奥歯が仕事が忙しくなると
上下とも痛くなる。
歯周病含め今の状態が気になる。
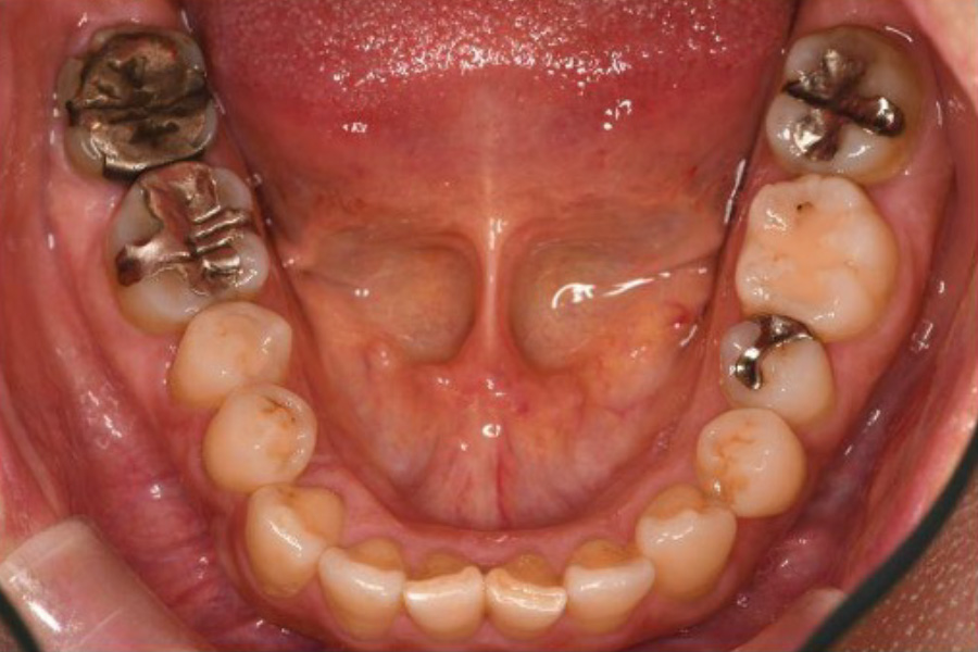
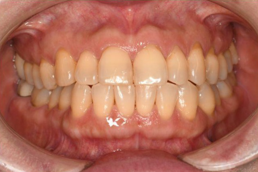
治療前
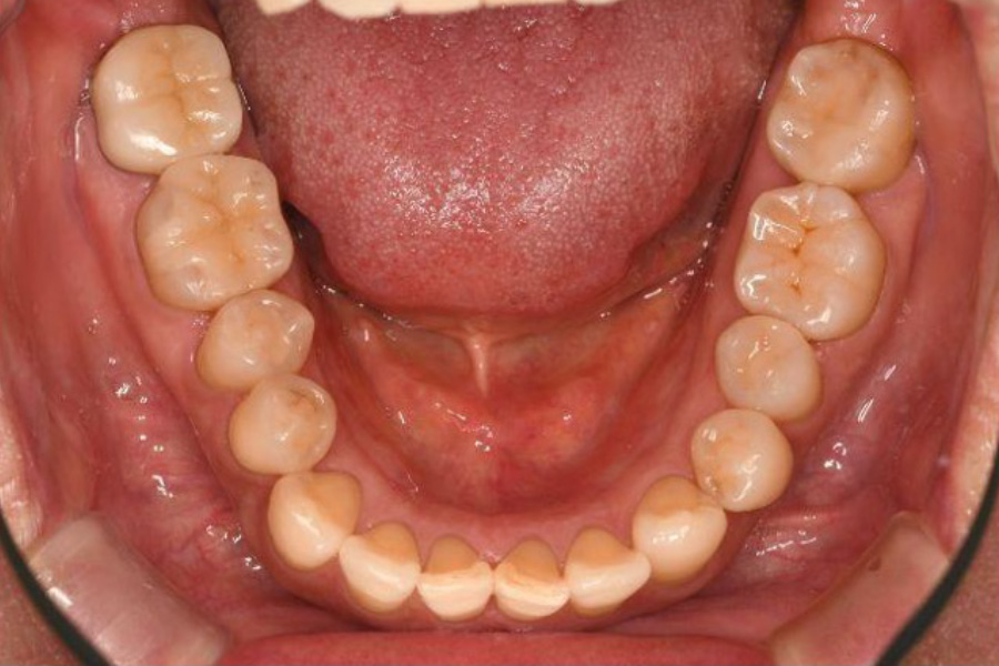
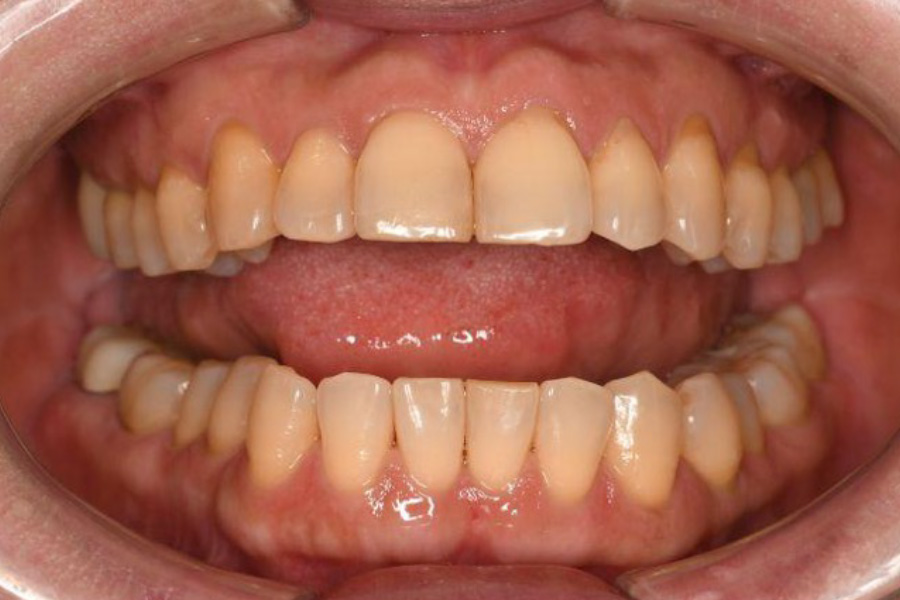
治療後
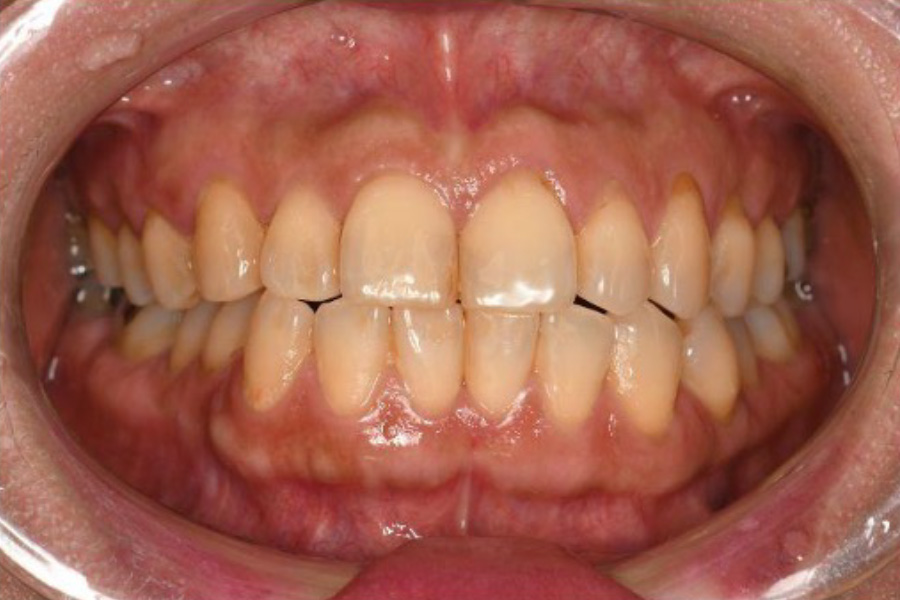
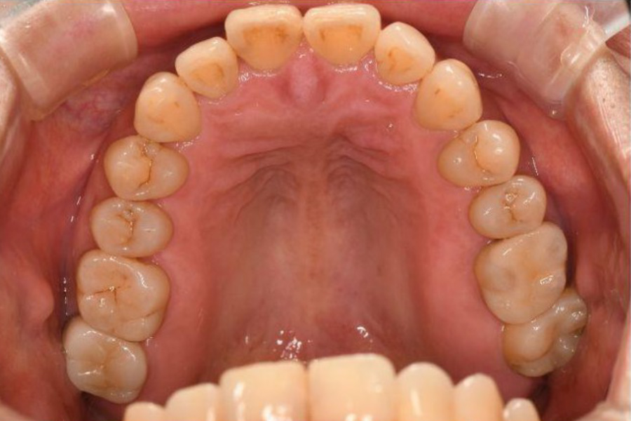
治療前
治療後
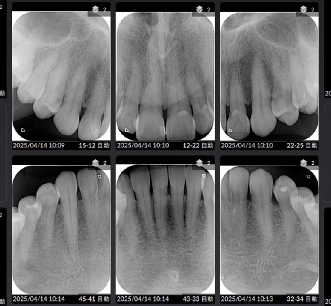
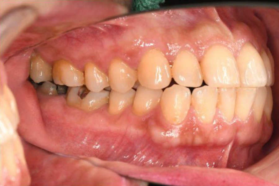
治療前

治療後

| 担当医 | 関西 一史 先生 |
|---|---|
| 主訴 | 左奥歯が仕事が忙しくなると上下とも痛くなる。 毎月メインテナンスしていた歯科医院が閉院した。 歯周病含め今の状態が気になる。 全体のメインテナンスもしたい。矯正治療はやりたくない。 |
| 期間 | 1年(メインテナンス予防1年目) |
| 費用 | 979,000円 |
| 治療内容 | 全顎治療:歯周病治療、根管治療、 歯肉弁剥離掻爬術(フラップ手術)、 セラミック治療、ダイレクトボンディング |
| 治療に伴うリスク | ・治療の効果を発揮するのは、口腔衛生環境の維持にかかっているため、正しいケアと歯科医院でのメインテナンス予防が必要です。 ・くいしばりや歯ぎしりがある場合、負担がかかりやすくなり、割れや欠けが発生する可能性があります。 |